
돌출입으로 인해
거울을 봤을 때 입이 유독
앞으로 나와 보이는 느낌을 받는다거나
옆모습이 튀어나와 보이거나
뚱해 보이는 표정을 하고 있는 듯한
모습처럼 보인다면
외적으로 불편감은 물론
콤플렉스가 될 수 있는데요.
이는 구강 기능을 비롯해
전반적인 건강에
영향을 끼칠 수도 있기 때문에
부정교합이 심하게 나타났다면
치아교정의 도움을 받아
돌출입 교정을 진행하는 것이 좋습니다.
오늘은 치아 교정 상담을 통해
망원동치과 365바른약속을 찾아주신
환자분의 사례를 소개해 드리겠습니다.
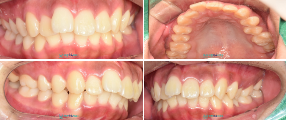
오늘 소개해 드릴 환자분께서는
10대 남학생으로
치아가 삐뚤어져 있고
튀어나와 있으시다며
교정 치료 상담을 위해
부모님과 함께 본원을 찾아주셨는데요.

구강 내를
확인해 보았더니
치아 배열이 고르지 않고
위턱 앞니가 앞으로 뻐드러져 있는 상태로
이는 우리가 흔히 부르는
앞니와 입 모양이 툭 튀어나와 보이는
돌출입이라 하며
아래턱 어금니가
위턱 어금니 보다 뒤쪽에 위치하는
2급 부정교합에 해당하는데요.
우선 돌출입의 원인에 대해 알아보도록 하겠습니다.
첫 번째, 치아 배열이 앞으로 기울어져
입이 돌출되어 보이는 경우
두 번째, 위턱의 과도한 성장으로 인해
입 전체가 나온 경우
첫 번째 원인과 같이
치아 배열에 의한 문제라면
치아 교정을 통해 비교적 수월하게
조절이 가능하지만
두 번째 원인처럼
턱뼈 골격 자체의 문제라면
보다 복잡한 접근이 필요합니다.
만약 돌출입 상태를 방치하게 된다면
이는 단지 겉모습만의 문제가 아니라
입이 잘 다물어지지 않거나
앞니로 음식을 끊어 먹기 어려운
불편감이 생길 수 있으며
윗입술과 아랫입술의 균형이 깨지면서
발음이 뭉개지거나
공기기 새는 느낌을 받을 수 있습니다.
이 외에도
입술에 긴장을 주는 습관이 생기면
주변 근육의 기능도
비정상적으로 작동할 수 있기 때문에
돌출입 교정은
단순히 외모 개선뿐만이 아니라
정상적인 저작 기능과 발음,
근육 균형 회복을 위해서
망원동치과 교정 치료가 필요합니다.

다행히 환자분께서는
치아 배열에 의한 돌출입이었기 때문에
망원동치과 365바른약속에서 진행하는
치아 교정 치료를 통해
개선이 가능한 상태로
환자분과 보호자 분과 정밀한 상담을 통해
가지런한 치아 배열과
돌출입 해결을 위해 치
아 교정치료를 진행하기로 하였습니다.
365바른약속치과 망원동치과에서는
3D CT 촬영 및
다양한 최신 디지털 치과 장비를 활용하여
돌출입 증상의 발생 원인을
정밀하게 파악하고
돌출된 정도를 측정하는 등
정밀한 진단을 통해
환자의 구강 구조와
요구사항을 충분하게 수렴한 뒤
그를 개선할 수 있는
적합한 치료 계획을 수립하여
진행을 도와드리고 있습니다.
돌출입 교정 시 발치를 꼭 해야 하나요?라고
질문을 많이 받는데요.
모든 돌출입 환자에게
발치가 필요한 것은 아닙니다!
돌출된 정도가 심하지 않고
치열에 충분한 공간이 있다면
비발치 교정이 가능하지만
돌출된 정도가 심하고
공간이 부족할 경우
무리하게 치아 배열을 진행하게 되면
잇몸뼈에 부담을 주거나
교합이 불안정해질 수 있기 때문에
전체적인 균형을 고려한
공간 확보가 중요합니다.
365바른약속치과 망원동치과에서는
자연치아의 소중함을
누구보다 잘 알고 있기 때문에
치아 배열과 입술 선, 교합의 안정성 등
다양한 요소를 종합적으로 평가한 뒤
발치를 하지 않고도
교정 치료가 가능하다면
비발치로 진행을 도와드리고 있지만
환자분의 경우 공간이 부족한 상태로
발치가 필요하다고 판단이 되었기 때문에
위아래 양측 소구치를 하나씩 발치한 뒤
돌출입 개선을 위한 교정치료를
도와드리기로 하였습니다.

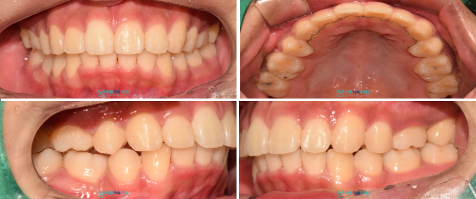
먼저 공간 확보를 위한 소구치 발치 후
교정 치료를 시작하였으며,
정기적인 체크를 통해
치아 배열 상태와
돌출입이 개선되어가는 확인해가면서
와이어를 교체하고
교정의 강도를 조절하는 등
진행을 도와드렸습니다.

돌출입 교정 치료가
마무리된 구강 내 사진인데요.
환자분께서는 웃는 모습이
훨씬 더 자연스러워지고 좋아지셨다며
만족해하셨습니다.

이렇게 소구치 발치 후
교정치료를 통해
돌출입을 해결해 드린 사례를
소개해 드렸는데요.
치아 교정은 의료진의 진단과 계획에 따라
결과가 달라질 수 있기 때문에
정밀한 진단 그에 맞는 알맞은 치료 방법을
찾아내는 과정이 중요한데요.
365바른약속 망원동치과에서는
치아 교정에 대한 풍부한 임상 경험과
노하우를 겸비하신 대표원장님께서
1:1 맞춤 정밀한 진단을 통해
돌출입 원인을 정확하게 파악하고
입술 선, 교합, 얼굴 균형까지 고려한
교정 치료 계획으로
보다 만족도 높은 치아 교정을
도와드리고 있기 때문에
언제든 믿고 내원하실 수 있습니다.
돌출입이나 부정교합으로 인해
불편감을 겪고 계시거나
치아 교정을 고려하고 계신다면
건강한 치아 기능 회복을 도와드리는
365바른약속치과 망원동치과에 내원하시어
정밀한 검사와
상담받아보시길 바랍니다.
한 분 한 분의
밝은 미소를 되찾아 드리기 위해
항상 노력하겠습니다.
감사합니다.
*모든 증례 사진은 의료법 제23조,
제56조에 의거하여,
당사자의 동의하에 게시하였습니다.
*치료 사진은 모두 본원에서 치료한
환자분의 사진입니다.
*치료 사진은 모두 동일인의 사진이며,
동일 조건에서 촬영하였습니다.
*개인의 차이에 따라 시술 및
수술 후 부작용이 발생할 수 있으며,
의료진과 충분한 상담을 받으시기 바랍니다.