
사람의 인상과 이미지를
좌우하는 중요한 요소 중 하나는
자연스러운 밝은 미소인데요.
하지만 치열이 가지런하지 않고
불규칙하여 삐뚤빼뚤하다면
웃는 모습이 자연스럽지 못하고,
이로 인해 자신감 저하 및
심리적으로 위축되는 모습을
보일 수 있습니다.
이렇게 고르지 않는 치아 배열이나 덧니,
돌출입, 주걱턱 등으로 인해
외모 콤플렉스를 갖고 계신다면
한 번쯤은 치아 교정을
고민해 보셨을 겁니다.

치아교정은 치아 배열을 바르게 잡아주는
기능적인 치료임과 동시에
외모 개선에도 중요한 역할을 하고 있어서
많은 분들이 고려해 보시는
치과 치료 중 하나입니다.
오늘은 치아 교정 상담을 위해
망원동치과 365바른약속을
찾아주신 환자분의 사례를
소개해 드리겠습니다.
오늘 소개해 드릴 환자분께서는
치아가 많이 엉켜있어
교정 치료를 통해 가지런하게 하고 싶으시다며
상담을 위해 본원을 찾아주셨는데에요.

먼저 구강 내를
확인해 보았더니
치아가 심한 총생으로 인해
겹쳐져 있는 부분도 있었으며,
배열이 고르지 않는 상태였습니다.

총생이란, 치아가 구강 내에
가지런하게 배열되지 않고 삐뚤고
서로 겹쳐서 맹출 된 상태의 부정교합으로
치열이 맞지 않아
치아가 서로 겹쳐있는 상태인데요.
총생이 생기는 원인으로는
턱뼈의 크기에 비하여
치아가 큰 경우
턱과 치아의 크기가
서로 맞지 않은 부조화로 인하여
치아가 올바른 위치로
맹출 될 공간이 부족하여 생기게 되거나
반대로 잇몸뼈 공간이 부족하여
영구치가 맹출 되면서
인접 치아와 겹치게 되는 것인데요.
치아 총생을 방치하게 된다면
겹친 치아로 인해 음식물이 잘 끼고,
또한 치태가 잘 제거되지 않기 때문에
구강위생관리가 쉽지 않아
치태와 치석이 치아와 잇몸 사이에
쉽게 쌓이게 되고
이로 인해 충치와 치주 질환의 발생 위험이
더 커질 수밖에 없습니다.

환자분과 정밀한 상담 후
교정 치료를 통해
치아 배열을 가지런하게
해주기로 치료 계획을 수립하였는데요.
치아 총생은
치아가 맹출 될 공간이 부족하여
발생하는 경우가 대부분이기 때문에
공간 확보 및
치열 배열을 균형 있게 하기 위해서
망원동치과 365바른약속치과에서는
정밀한 검사를 통해
환자분의 치아 구조와 상태를 확인하고
진단하였으며,
이를 통해 세부 계획을 세우는 과정을
진행하였는데요.
치열 불균형이 심하지 않는 경우에는
치아 사이를 일부 삭제하거나
치아 이동을 통해 공간 확보 후
치아 교정을 하는
비발치 교정을 진행하지만
환자분의 경우 공간 확보를 위해서는
발치가 더 효율적이라고 판단하여
위아래 작은 어금니를 하나씩,
총 4개를 발치하여 공간을 확보 후
교정을 진행하기로 하였습니다.

발치 후 치아에
브라켓과 와이어를 체결하여
치아 배열이 가지런하게 될 수 있도록
정기적인 체크를 통해
강도를 조절해 가면서
교정 치료를 도와드렸습니다.
정기 검진 때마다 눈에 띄게
치아 배열이 가지런해지는 모습을 보고
환자분은 물론 저희 의료진 역시
교정이 마무리되었을 때 모습이
더욱더 기대가 되었었는데요.

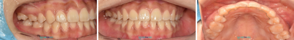
교정치료가 마무리된
구강 내 사진입니다.
처음 내원하셨을 때는
치아가 겹쳐있고 기울어져 있는 등
삐뚤빼뚤한 배열을 가지고 계셨지만
교정 후에는 치아가 가지런해진 것을
확인할 수 있었는데요.
환자분께서도 치아 교정 치료 마무리 후
본인의 모습에 매우 만족해하셨으며,
웃는 모습이 훨씬 더 자연스러워지셔서
행복해하시는 모습을 보니
저희 의료진 역시 뿌듯한 마음이었습니다.

이렇게 총생 치아를 발치를 통해
치아 교정치료를 도와드린 사례를
소개해 드렸는데요.
요즘은 비발치 교정을 하는 것이 대세이지만
발치를 하느냐 비발치를 하느냐는
환자 개개인 상태에 따라 다르며,
공간 확보가 어려운 경우에는
교정 치료 결과의 만족도를 위해서는
발치를 진행하는 것이
더 효율적인 방법일 수 있기 때문에
전문의와 충분한 상담 후
교정 치료를 진행하는 것이 중요합니다.
치아 교정을 진행하는 치과는
수없이도 많지만
무엇보다 중요한 것은 잘하는 것인데요.
망원동치과 365바른약속치과에서는
치아 교정에 대한 풍부한 임상 경험과
노하우를 겸비하신 대표원장님께서
치아 교정을 진행하기 전
다양한 장비를 활용하여
환자마다 다른 구강 내 상태를
면밀하게 확인하고 상태를 이해한 뒤
이러한 결과를 토대로
세심한 상담과 개개인에 맞는 치료 계획을 세워
치료를 도와드리고 있기 때문에
더욱더 만족도 높은 결과를
얻어 가실 수 있습니다.
치아 총생으로 인해
기능적, 심미적으로 불편감을 겪고 계신다면
망원동치과 365바른약속치과에 내원하시어
의료진과 정밀한 상담을 통해
문제를 해결해 보시길 바랍니다.
감사합니다.
*모든 증례 사진은 의료법 제23조,
제56조에 의거하여,
당사자의 동의하에 게시하였습니다.
*치료 사진은 모두 본원에서 치료한
환자분의 사진입니다.
*치료 사진은 모두 동일인의 사진이며,
동일 조건에서 촬영하였습니다.
*개인의 차이에 따라 시술 및
수술 후 부작용이 발생할 수 있으며,
의료진과 충분한 상담을 받으시기 바랍니다.