
잇몸 질환은 성인 중 약 70% 이상이
앓고 있는 구강 질환으로,
치아를 둘러싸고 있는 잇몸 조직인 잇몸과
치조골(잇몸뼈) 또는 인대 등에
염증이 생기는 질환입니다.
염증이 진행되면 치아가
흔들리기 시작하고,
심한 경우에는 결국 치아를
상실할 수도 있습니다.

잇몸 질환은 진행 정도에 따라
가벼운 잇몸 염증 상태와
잇몸 조직에 손상이 진행된 단계로
나눌 수 있습니다.
잇몸에만 국한된 초기 염증 상태는
통증이 심하지 않아 자각하기 어렵고,
이로 인해 쉽게 방치되는 경우가
많습니다.
하지만 이 시기에 치료를 시작하면
비교적 간단한 처치만으로
회복이 가능합니다.
반면, 염증이 잇몸 아래 조직으로
확산되면 약해지거나 불편한
증상이 나타날 수 있으며,
방치 시 치아 건강에도 영향을 줄 수 있으므로
조기에 점검 받는 것이 중요합니다.
따라서 잇몸이 자주 붓고 간지럽거나,
주위에서 통증이 느껴지고
고름이나 구취가 나는 경우에는
방치하지말고 신속하게
마포구청치과 365바른약속에 내원하시어
적절한 치료를 받는 것이 중요합니다.
오늘 소개해 드릴 분은
다수의 치아를 상실하신 상태로,
치료를 위해 마포구청치과 365바른약속에
내원하신 환자분입니다.
환자분은 60대 여성으로,
치아를 상실한 지는 오래되었지만
치과에 대한 공포증과 당뇨, 고지혈증,
골다공증 등 전신 질환으로 인해
치료를 계속 미루셨다고 말씀해 주셨는데요.

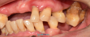
먼저 구강 내 상태를
확인해 보았더니,
다수 치아가 상실된 채로
맞물리는 치아가 거의 없는
상황이었습니다.
그 모습을 보며
그동안 어떻게 식사를 하셨을까 싶은
안타까움과 함께,
걱정스러운 마음이 들었는데요.

정밀한 진단을 위해
파노라마 사진을 촬영해 보았더니,
잔존 치아들 모두 심한 잇몸 질환으로 인해
예후가 좋지 않아
발치가 불가피한 상황이었습니다.
환자분처럼 고혈압이나 당뇨 등
전신질환을 가지고 계신 경우,
자신감 저하와 치료에 대한 두려움으로
상실된 치아를 오랫동안 방치하는
경우가 생각보다 많은데요.
하지만 치료 전 충분한 사전 검사와
전신 상태에 대한 점검이 이루어진다면,
전신 질환이 있더라도
임플란트가 충분히 가능합니다.

마포구청치과 365바른약속치과에서는
전신 질환에 대한 이해를 바탕으로,
임상 경험이 풍부한 대표원장님이
환자분의 복용 약물과 상태를
면밀히 확인한 후 신중하게
치료 계획을 수립하였습니다.
그 결과, 예후가 어려운 치아는
모두 발치하고 전체 임플란트를 통해
저작 기능과 구강의 조화를
회복하는 방향으로 치료를 진행하기로
하였는데요.
발치 후 임플란트를 진행하기에 앞서,
파노라마 사진과 3D CT 촬영을 통해
잔존 치조골의 양과 두께,
위턱의 경우 상악동막과의 거리,
아래턱 하방으로 지나가는
하치조 신경관의 위취 등
눈에 보이지 않는 해부학적 구조물까지
면밀하게 확인하였습니다.
이러한 정밀 검사 결과를 바탕으로,
임플란트를 식립할 위치를 결정하고
사용될 픽스처의 굵기, 길이, 식립 방향 등을
사전에 시뮬레이션하여
임플란트 식립 준비를 마쳤는데요.
환자분은 당뇨를 가지고 계셨기 때문에,
수술 전 혈당 수치를 조절한 뒤
치료를 계획하였습니다.
또한, 저혈당 증상을 예방하기 위해
수술 일정은 오전으로 예약하였고,
불안감이 크신 상황을 고려하여
의식하 진정요법을 함께 적용하였습니다.
의식하 진정요법은
전신마취와 달리 자발적은 호흡이
가능한 상태에서 가수면과 유사한 편안한 의식
상태로 치료를 받는 방법입니다.
치료 중 의식은 있지만
불안이나 공포가 줄어든 상태에서
보다 편안하게 시술을 받을 수 있었기에
시술 후에는 충분히 회복된 상태에서
귀가하실 수 있도록 안내해 드리고 있습니다.

모든 준비를 마친 후,
의식하 진정요법을 적용하여
발치와 임플란트 식립을 같은 날
진행해드렸으며,
계획한 위치와 방향에 맞춰
임플란트가 잘 식립된 것을
확인할 수 있었습니다.

최종 보철물이 완성되기 전까지는
일상생활에서의 심미적, 기능적
불편을 덜어드릴 수 있도록,
임시 틀니를 제작하여
착용하실 수 있게 도와드렸습니다.
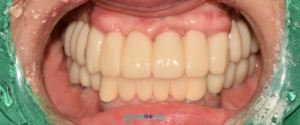
식립 후 일정 기간이 지난 뒤,
픽스처와 잇몸뼈가
잘 유착된 것을 확인한 후
최종 보철물 제작을 위한
인상채득 과정을 진행하였는데요.

최종 보철물은
자연치아와 유사한 강도를
가지면서 우수한 지르코니아로 소재로
완성해 드렸습니다.
환자분께서는 다수의 치아 상실로 인해
그동안 식사나 대화 시 불편함이 많아
사람을 만나는 일조차 망설여질
정도였다고 말씀하셨는데요.
치료가 마무리된 후에는
양쪽으로 음식물을 저작하는 데
편안함을 느끼셨고,
웃는 모습도 훨씬 자연스러워졌다고
하시며 매우 만족해하셨습니다.
전<후


이처럼 치과 치료에 대한 두려움과
전신질환으로 고민이 많았던 환자분께
의식하 진정요법을 통해
발치와 전체 임플란트 식립을
도와드린 사례를 소개해 드렸는데요.
마포구청치과 365바른약속치과에서는
대표원장님께서 임플란트 치료 전 환자분의 상태와
복용 중인 약물 등을 사전에 확인하고,
다양한 디지털 장비를 활용해
구강 구조를 면밀히 검사한 후
신중하게 치료 계획을 수립하고 있습니다.
치과 치료를 미루고 계셨다면,
더 늦기 전에
의료진과 충분한 상담을 통해
편안하고 체계적인 치료 과정을 함께
계획해보시길 바랍니다.
감사합니다.
*모든 증례 사진은 의료법 제23조,
제56조에 의거하여,
당사자의 동의하에 게시하였습니다.
*치료 사진은 모두 본원에서 치료한
환자분의 사진입니다.
*치료 사진은 모두 동일인의 사진이며,
동일 조건에서 촬영하였습니다.
*개인의 차이에 따라 시술 및
수술 후 부작용이 발생할 수 있으며,
의료진과 충분한 상담을 받으시기 바랍니다.