
치아는 신체 건강을
유지하는 데 중요한 역할을 하지만,
충치나 치주 질환, 노화, 외상 등으로
상실되는 경우가 많습니다.
손상된 치아는
자연 회복이 어렵기 때문에
임플란트, 브릿지, 틀니와 같은
보철 치료를 통해 기능을 대신해야 합니다.
이러한 치료는 저작 기능과
발음을 돕고, 주변 치아 이동과
턱뼈 변화를 예방하는 데에도 영향을 줍니다.
다만 모든 방법이 개인에게
동일하게 적용되는 것은 아니므로,
구강 상태와 잇몸, 뼈의 상태 등을
고려해 적절한 치료 계획을
세우는 것이 중요합니다.
오늘 소개해 드릴 분은
다수 치아 상실로 임플란트 상담을 위해
망원동치과 365바른약속에
내원하신 환자분입니다.
환자분은 60대 남성으로,
전체 임플란트를 고려하시어
본원 환자분의 소개를 통해
전라남도 보성군 벌교읍에서
내원해 주셨습니다.

먼저 구강 내 상태를
확인해 보았더니,
다수 치아가 상실되어 있었으며,
잔존 치아들도 충치와 잇몸 질환으로 인해
예후가 좋지 않았습니다.

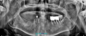
정밀한 진단을 위해
파노라마 사진을 촬영한 결과,
남아 있던 치아들은
모두 심한 잇몸 질환의 영향을 받고 있었고,
치아를 지지하는 잇몸 조직도
많이 약해진 상태였습니다.
또한 치아의 흔들림도
큰 편이어서 발치가 불가피한 상황으로
판단되었습니다.
이 경우 전체 치아를
상실하게 되므로 전체 틀니나
전체 임플란트와 같은 방향을 고려할 수 있는데,
환자분께서는 전체 임플란트를
원한다고 말씀해 주셨습니다.
망원동치과 365바른약속치과에서는
잔존 치아를 발치한 이후,
치료가 마무리되기 전까지
일상생활에서의 불편을 줄이기 위해
식사와 회복 과정까지
고려한 치료 계획을 세웠습니다.
이를 위해 수술 후 일상으로의
복귀가 보다 원활하도록,
컴퓨터 가이드 임플란트를 통해
식립을 진행하기로 하였습니다.

기존에는 잇몸을 넓게 절개한 뒤
임플란트를 식립하는 방식이
주로 사용되었지만,
최근에는 디지털 장비를 활용해
뼈의 상태와 신경, 혈관의 위치를
보다 세밀하게 확인한 후
계획을 수립하게 됩니다.
이후 컴퓨터 프로그램을 통해
여러 차례 모의 과정을 거쳐
적절한 식립 경로를 설정하고,
이를 바탕으로 임플란트가
들어갈 위치를 정하게 됩니다.
이렇게 계획된 내용을 기반으로
수술 가이드 장치를 제작하게 됩니다.

이 가이드 장치는
수술 당일 잇몸 위에 위치시켜,
사전에 계획된 위치에 따라
드릴링을 진행하고 임플란트를
식립할 수 있도록 돕는 방식입니다.
컴퓨터 가이드 임플란트는
절개 범위를 줄일 수 있어
통증과 붓기에 대한 부담이 적고,
내원 횟수를 줄이는 데에도
도움이 될 수 있습니다.
또한 여러 차례 시뮬레이션을
바탕으로 제작된 가이드를 활용하기 때문에,
계획된 위치와 각도를 기준으로
식립이 가능하며 오차를 줄이는 데 도움이 됩니다.

망원동치과 365바른약속치과에서는
환자분의 구강 상태를 디지털 장비를 통해
면밀하게 확인한 뒤,
시뮬레이션 결과를 바탕으로
가이드를 제작하여 컴퓨터 가이드
임플란트 식립을 진행하였습니다.
식립 이후에는 임플란트와
잇몸뼈가 결합되는 과정을 충분히 거친 뒤,
상태를 확인하고 최종 보철물 제작을 위한
인상채득을 진행하였습니다.
최종 보철물은 자연치아와
유사한 특성을 가진 지르코니아를 활용해
마무리하였습니다.

모든 치료가 마무리된 후의
파노라마 사진과 구강 내 모습입니다.
환자분께서는 치료 이후
식사가 한결 편해졌고,
웃는 모습이 좋아져
만족해하셨습니다.
전 < 후

이처럼 컴퓨터 가이드를 활용해
전체 임플란트 식립을 진행한 사례를
소개해 드렸습니다.
망원동치과 365바른약속치과에서는
다양한 디지털 장비를 활용해
체계적인 치료 계획을 수립하고,
컴퓨터 가이드 임플란트 식립을 통해
보다 편안한 치료 과정을 도와드리고 있습니다.
다수 치아 상실로
임플란트를 고려하고 계신다면,
개인의 구강 상태와 잇몸뼈 조건을
충분히 반영한 치료 계획을
바탕으로 진행하는 것이 중요합니다.
충분한 상담을 통해
현재 상태를 확인해보시길 바랍니다.
감사합니다.
*모든 증례 사진은 의료법 제23조,
제56조에 의거하여,
당사자의 동의하에 게시하였습니다.
*치료 사진은 모두 본원에서 치료한
환자분의 사진입니다.
*치료 사진은 모두 동일인의 사진이며,
동일 조건에서 촬영하였습니다.
*개인의 차이에 따라 시술 및
수술 후 부작용이 발생할 수 있으며,
의료진과 충분한 상담을 받으시기 바랍니다.