
[목차]
▶ 위·아래 틀니 사용 시 느껴지는 구조적 차이
▶ 잔존 치아 상태와 발치가 필요했던 진단 과정
▶ 컴퓨터 가이드 임플란트를 활용한 치료 계획
▶ 치료 후 변화와 임플란트 치료 시 고려사항
[위·아래 틀니 사용 시 느껴지는 구조적 차이]
위턱 틀니는 입천장이
넓게 지지해 주어 비교적 안정적으로
유지되는 반면,
아래턱은 잇몸뼈가 좁고
혀의 움직임 영향을 받아 틀니가
쉽게 흔들릴 수 있습니다.
또한 아래턱은 잇몸뼈 흡수가
더 빠른 경향이 있어
시간이 지날수록 유지력이 떨어지기 쉬워,
불편감을 느끼는 경우가 많습니다.
오늘 소개해 드릴 분
역시 아래턱 틀니의 불편감으로
임플란트 치료를 위해
망원역치과 365바른약속에
내원하신 환자분입니다.
환자분은 60대 남성으로,
위아래 틀니를 사용 중이셨으며
아래턱 잔존 치아의 흔들림과
틀니의 불편함으로 인해
임플란트 치료를 고려하고 있다고
말씀해 주셨습니다.
[진단 과정]

먼저 구강 내를 확인한 결과,
위아래 모두 부분 틀니를 사용 중이셨습니다.
특히 불편감을 호소하셨던 아래턱의 잔존 치아는
심한 잇몸 질환과 지속적인 과도한 힘의 영향으로
전반적으로 약해져 있었으며,
동요도가 큰 상태로 확인되었습니다.

정밀 진단을 위해
파노라마 촬영을 진행한 결과,
아래턱 잔존 치아 주변의 잇몸뼈가
많이 감소하여 치아를 지지하기
어려운 상태로 확인되었고,
발치가 필요한 상황이었습니다.
환자분께서는 위턱 틀니는 유지하면서
아래턱은 문제가 있는 치아를 발치 후
임플란트 치료를 진행하기를 원하셨습니다.
[컴퓨터 가이드 임플란트를 활용한 치료 계획]
망원동치과 365바른약속치과에서는
환자분의 상태를 충분히 고려하고,
원하시는 치료 방향을 반영하여
컴퓨터 가이드 임플란트 식립을 계획하였습니다.
컴퓨터 가이드 임플란트는
네비게이션 임플란트라고도 하며,
3D CT 등 디지털 장비를 활용해
치료 계획을 세우는 방법입니다.
잔존 치조골의 양과 두께,
하치조 신경과의 위치 관계,
골질 상태 등을 사전에 확인한 뒤,
임플란트가 자리 잡을 위치를 설정하고
픽스처의 길이와 두께, 식립 방향까지
디지털 시뮬레이션을 통해 미리 계획하였습니다.

이러한 분석 결과를 바탕으로
제작된 가이드 장치를 활용하여
실제 구강 내에서도 사전에 계획된
위치와 방향에 맞춰
임플란트 식립이 이루어질 수 있도록 돕고 있습니다.

또한 사전 검사를 통해
골질 상태를 고려한 위치를 선정하여
식립을 진행함으로써,
보철 수복까지의 기간을 줄이는 데
도움이 될 수 있습니다.
환자분께서도 빠른 일상 복귀를
원하셨기 때문에
컴퓨터 가이드 임플란트 치료를 통해
식립을 진행하기로 하였습니다.

사전 계획에 맞춰
식립을 마무리하였으며,
식립 후 약 2주 만에
최종 보철물 제작까지 진행되었습니다.
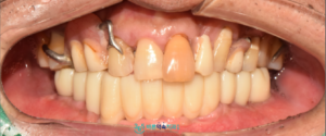
[치료 후 변화와 임플란트 치료 시 고려사항]

모든 치료가 마무리된 후의
구강 내 사진과 파노라마 사진입니다.
환자분께서는 임플란트 치료가
부담스러울 것이라 생각하셨지만,
과정이 비교적 편안하게
진행되었다고 말씀해 주셨습니다.
치료 이후에는
양측 저작이 한결 수월해지고
웃는 모습에도 변화가 생겨
만족감을 표현해주셨으며,
예상보다 빠르게 치료가 마무리된 점에
대해서도 긍정적으로 말씀해 주셨습니다.
전 < 후

이처럼 발치 후
컴퓨터 가이드 치료를 통해
임플란트 식립을 진행한 사례를
소개해드렸습니다.
컴퓨터 가이드 임플란트는
잇몸뼈 상태를 바탕으로
사전 계획을 세워 식립을 진행하는 방법으로,
여러 치아를 상실했거나
잇몸뼈 상태를 고려해야 하는 경우,
또는 수술에 대한 부담을 줄이고
원활한 일상 복귀를 원하는 경우에
고려해볼 수 있는 치료 방법입니다.
다만 모든 경우에 동일하게
적용되는 것은 아니기 때문에
정밀한 검진을 통해
개인의 구강 상태에 맞는 치료 계획을
세우는 것이 중요합니다.
치료 기간이나 방법에 대해
고민하고 계시다면
망원동치과 365바른약속치과에
내원하시어 상담과 검사를 통해
현재 상태를 확인해보시길 바랍니다.
감사합니다.
*모든 증례 사진은 의료법 제23조,
제56조에 의거하여,
당사자의 동의하에 게시하였습니다.
*치료 사진은 모두 본원에서 치료한
환자분의 사진입니다.
*치료 사진은 모두 동일인의 사진이며,
동일 조건에서 촬영하였습니다.
*개인의 차이에 따라 시술 및
수술 후 부작용이 발생할 수 있으며,
의료진과 충분한 상담을 받으시기 바랍니다.