
보통 만 6세에서 7세에
영구치가 자라나기 시작하면서
치아 교환시기에 접어들기 시작하며,
이때 위아래 턱뼈의 골격 성장도
함께 진행이 되는데요.
위아래 턱뼈 발달과 치아의 성장이
균형적 조화를 이룬다면 좋겠지만
그렇지 못한 경우가 생각보다 많으며
이로 인해 부정교합이 생길 수 있습니다.

부정교합이란 턱뼈, 치아 등의 문제로
위아래 치아가 가지런하지 못하거나
정상적으로 맞물리지 않는 상태를 말하며
첫 번째 큰 어금니를 기준으로
부정교합의 정도를
급수로 구분할 수 있는데요.
✅️ 부정교합 1급
첫 번째 큰 어금니의 위치는 정상적이지만
다른 치아가 틀어지고 삐뚤어진 상태로
덧니, 앞니가 벌어져 있거나 틀어진 경우
부정교합 1급에 해당됩니다.
✅️ 부정교합 2급
위턱에 위치한 첫 번째 큰 어금니가
아래턱 어금니보다 앞에 위치한 경우로
윗니가 상대적으로
더 앞으로 돌출되어 있는 상태인데요.
위턱이 아래턱에 비해 과성장 하였거나
반대로 아래턱의 성장이 더딘 경우
돌출입이나 과개 교합 등이
나타날 수 있습니다.
✅️부정교합 3급
부정교합 3급은 2급과 반대로
위턱의 치아가 아래턱 치아보다
후방으로 후퇴해 있는 경우를 말하며
대표적으로 주걱턱이나 반대교합이
부정교합 3급에 해당됩니다.

이렇게 부정교합이 있다면
심미적인 스트레스는 물론
발음, 저작 능력, 구강 관리의 어려움 등
여러 가지 문제가 생길 수 있기 때문에
치아 교정을 통해
부정 교합이 있는 치아를 가지런하게 하고
성장 과정 중 발생하는
여러 골격 부조화를 바로잡아
정상 기능을 발휘할 수 있도록
개선해 주는 것이 중요합니다.
오늘은 위턱의 송곳니가 반대로 물려
교정 상담을 위해
망원동치과 365바른약속을
찾아주신 환자분의 사례를
소개해 드리겠습니다.
오늘 소개해 드릴
환자분께서는
10대 남자 학생분으로
위턱의 왼쪽 송곳니(#23)가 반대로 물려
턱을 벌리면 아프고
웃었을 때 치아가 틀어져 보여서
콤플렉스라고 말씀을 해주셨는데요.

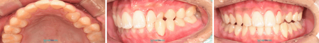
먼저 구강 내를
확인해 보았더니
위턱 왼쪽 송곳니가
아래턱 송곳니 보다
안쪽으로 밀려 들어가 있는 상태였으며
이로 인해 어금니가 안정적인 교합이
이루어지지 않고 있었습니다.
망원동치과 365바른약속치과에서는
다양한 장비를 활용하여
전체적인 교합 상태, 치아와 턱뼈 상태,
치아가 안으로 들어간 정도 등
환자분의 구강 상태를 정밀하게 체크하여
비발치 교정치료를 통해
치아 배열을 가지런하게 하여
불편감을 해소시켜 드리기로
치료 계획을 수립하였습니다.

안으로 들어간
위턱 왼쪽 송곳니(#23)를
제 위치로 이동시키고
안정적인 교합을 되찾을 수 있도록
교정 치료를 진행하였으며
정기적인 체크를 통해
치아 이동 강도를 조정하며
눈에 띄게 치아 배열이
가지런해지는 것을 확인할 수 있었습니다.

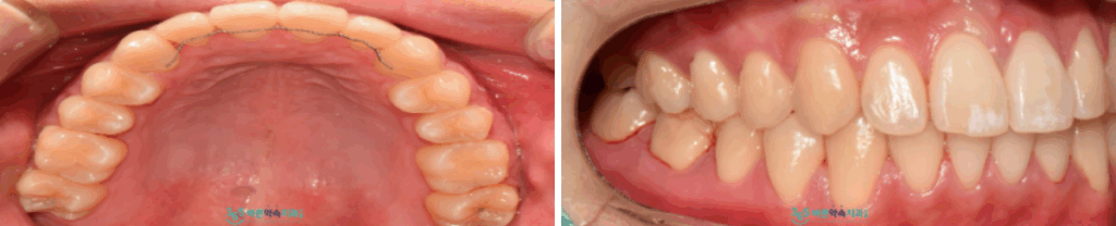
비발치 교정치료가
마무리된 구강 내 사진인데요.
안으로 들어가 있던 송곳니가
제 위치로 돌아오고
안정적인 교합을 되찾은 모습입니다.
환자분께서는 입을 벌렸을 때
턱관절에 불편감이 사라지고
웃는 모습에 자신감이 생겨
만족해하셨습니다.

교정치료는 마무리되었지만
치아는 다시 원래의 자리로
돌아가고 싶어 하는 관성이 있기 때문에
치아 교정이 끝난 후에도
배열을 유지하기 위해서는
유지 장치 착용이 필요한데요.
망원동치과 365바른약속치과에서는
얇은 와이어를 레진을 이용하여
치아 뒷면에 부착해 드렸으며
딱딱하거나 끈적거리는 음식 섭취로 인해
유지 장치가 탈락될 수도 있으니
조심해 주시길 당부드렸으며,
치아와 유장치 사이에
음식물이 끼지 않도록
꼼꼼한 양치질을 통해
구강 청결 상태를 유지해 주시길
부탁드렸습니다.

이렇게 송곳니가 거꾸로 물리는
치열을 교정하고
스마일라인을 만들어드린 사례를
소개해 드렸는데요.
같은 부정교합이라고 하더라도
교합 상태나 치아 돌출 정도,
턱뼈 상태 등에 따라
치료 방법이 다 다르기 때문에
이 모든 것을 고려하여
구강 상태를 세밀하게 파악한 후
그에 맞는 적합한 교정 치료 계획과
환자분께서 원하는 결과를 바탕으로
교정치료 계획을 세우는 것이 중요한데요.
망원동치과 365바른약속치과에서는
치아 교정 분야에 대해
풍부한 임상 경험과
숙련도를 겸비하신 대표원장님께서
다양한 장비를 활용하여
환자분의 상태를 면밀하게 검사한 뒤
적절한 치료 방법을 통해
교정 치료를 도와드리고 있으며
누구보다 자연치아의 소중함을 알고 있기에
가급적이면 본인 치아를
최대한 유지하는 방향으로
진행할 수 있도록 도와드리고 있습니다.
부정교합으로 인해
평소 콤플렉스가 있다거나
구강 내 불편감을 겪고 계신다면
더 이상 방치하지 마시고
망원동치과 365바른약속치과로 내원하시어
전문의와 충분한 상담을 통한 교정치료로
환한 미소를 되찾을 수 있도록
도와드리겠습니다.
감사합니다.
*모든 증례 사진은 의료법 제23조,
제 56조에 의거하여,
당사자의 동의하에 게시하였습니다.
*치료 사진은 모두 본원에서 치료한
환자분의 사진입니다.
*치료 사진은 모두 동일인의 사진이며,
동일조건에서 촬영하였습니다.
*개인의 차이에 따라
시술 및 수술 후 부작용이 발생할 수 있으며,
의료진과 충분한 상담을 받으시기 바랍니다.