
치아는 상대방과 대화를 할 때
가장 눈에 띄는 부위로
그 사람의 이미지나 인상을
좌우하기도 하기 때문에
인상 개선을 위한 미용목적으로
치아 교정 치료를 진행하시는 분들이 많은데요.
이 외에도 치열이 틀어졌거나
다양한 부정교합을 갖고 있다면
심미성 회복뿐만 아니라
기능적인 문제가 회복하기 위해
치아 교정을 진행하기도 합니다.

치아교정이 필요한 경우를 살펴보면
✅️ 치아가 가지런하지 않거나
치아 사이가 벌어져 있는 등
치아 배열에 문제가 있는 경우
기능적으로는 크게 문제가 없을 순 있지만
구강 위생 관리의 어려움이 있으며
심미적인 개선을 위해
치아 교정이 필요할 수 있습니다.
✅️ 윗니가 아랫니를 과도하게 덮는 과개 교합,
윗니와 아랫니가 반대로 물리는 반대교합,
위아래 앞니가 완전히 물리지 않는 개방교합 등
부정 교합이 있다면
기능적으로 문제가 발생할 수 있기 때문에
치아 교정이 꼭 필요합니다.
✅️ 위, 아래턱이 균형 있게 성정하지 못해
부조화를 이룬다면
부정교합의 원인이 될 수 있기 때문에
교정치료가 필요합니다.
이렇게 치아와 턱 성장의 불균형으로 인해
부정교합을 갖고 계신 다면
심미성 회복은 물론
기능적 회복을 위해서
망원동치과 365바른약속에 내원하시어
교정 치료에 대한
정밀한 상담을 받아보시길 바랍니다.
오늘 소개해 드릴 환자분께서는
위턱이 좀 더 앞으로 나오게 하기 위한
상담을 교정 상담을 위해
망원동 치과 365바른약속을 찾아주신
환자분의 사례를 소개해 드리겠습니다.
오늘 소개해 드릴
환자분께서는
30대 여성분으로
위아래 치아의 교합 문제로 인해
아래턱은 안쪽으로 들어가고
위턱이 앞으로 나와 보였으면 좋겠다는 주소로
본원을 찾아주셨는데요.

먼저 구강 내를
확인해 보았더니
부정교합 3급 중에서도
위아래 앞니가 서로 맞물리는
절단 교합을 갖고 계신 것을
확인할 수 있었습니다.
정상적인 교합의 경우
윗니와 아랫니는
마치 톱니바퀴가 맞닿아 있는 것처럼
서로 포개어지는 형태의 모습을 갖추고 있으며,
교합이 잘 이루어져야
저작 시 음식을 골고루 씹을 수 있으며
발음도 잘 되는데요.
하지만 환자분의 경우
윗니와 아랫니가 서로 맞닿아 있는
절단 교합으로
아래턱 돌출로 인한
반대교합과 비슷한 양상을 보이기 때문에
부정교합 중에서도 3급에 해당되며
절단 교합이 있는 경우
저작 시 앞니가 서로 닿는 것 말고는
큰 불편감을 느끼지 못해
치료를 미루는 경우가 생각 보다 많지만
방치하게 될
경우 여러 가지 문제가 발생할 수 있는데요.
✅️ 앞니 수명 단축
정상적인 교합 상태에서는
저작 시 앞니끼리
닿지 않는 것이 일반적이지만
절단 교합이 있는 경우
앞니끼리 맞물리게 된다면
앞니 뿌리 흡수의 원인이 되며
수명 단축될 수 있습니다.
✅️ 치아 파절
치아가 닿을 때마다 자극을 주게 되면서
닳아지거나 파절이 일어날 수 있습니다.
망원동 치과 365바른약속치과에서는
3D CT와 다양한 장비를 활용하여
치아와 턱뼈 상태, 전체적인 교합 상태 등
구강 내 상황을 면밀하게 체크하였으며
검사 결과를 토대로
환자분과 정밀한 상담을 통해
비발치 교정 치료를 진행하기로 하였습니다.

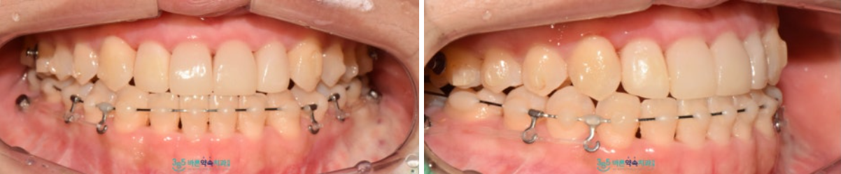
먼저 투명 교정 브라켓을 사용하여
치아 정렬을 먼저 진행한 뒤

아래턱 Distalization을 통해
뒤쪽으로 이동시켜
치아 위치를 조절하여
위턱이 앞으로 나올 수 있도록
진행을 도와드렸으며,
환자분과 같이 비발치를 통한
Total Distalization은
미니 스크류를 이용한
외과적 치료가 반드시 필요하기 때문에
해부학적 구조를 잘 아는
의료진이 있는 곳에서
교정 치료를 하는 것이 중요합니다.
이러한 과정을 통해
올바른 교합 회복과 함께
치아 모양이 개선되고
치아 수명 연장을 기대할 수 있습니다.

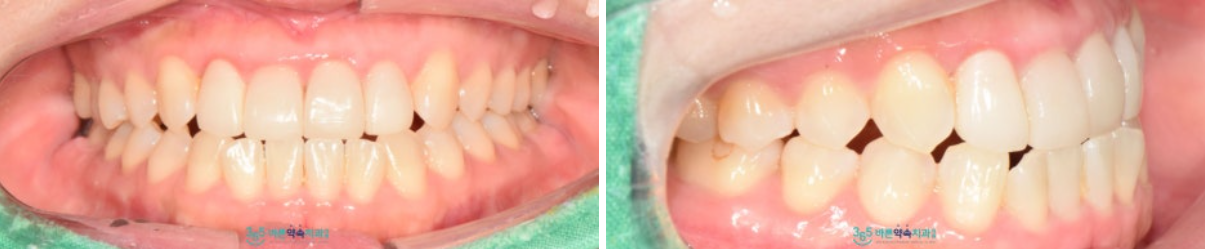
교정 치료가 마무리된
구강 내 사진인데요.
치료 후 맞물림의 상태를 확인해 보면
정상적으로
위턱 앞니가 아래턱 앞니를
살짝 덮고 있는 형태로
맞물림이 회복된 것을 확인할 수 있습니다.
환자분께서는 치료 과정은 힘드셨지만
안전하게 치료가 마무리되고
만족스러운 결과를 얻게 되어
기뻐하셨습니다.

이렇게 위아래 앞니가 맞물리는 절단 교합을
비발치 교정치료를 통해
정상 교합으로 개선해 드린 사례를
소개해 드렸는데요.

구강 내에 부정교합이 있다면
불규칙한 치아 배열로 인해
청결한 관리가 어려우며,
저작 기능이 떨어져
소화장애 등 위장 질환을 발생시킬 수 있습니다.
또한 특정한 발음이 안 되거나
정확한 발음이 어려워지며
치아가 잘 물리지 않기 때문에
잇몸뼈와 치아 손상이 있을 수 있습니다.
이 외에도 긴장으로 인한
턱 주변 근육에 통증과
두통이 생길 수 있으며,
얼굴 비대칭 및 변형으로 인해
자신감이 떨어져 일상생활에서
여러 가지 불편감을 겪을 수 있는데요.
망원동치과 365바른약속에서는
많은 부정교합 사례를
치료해 본 노하우를 갖고 있는
대표원장님께서
다양한 장비를 활용하여
구강 내 상태를 면밀하게 검사하여
환자분의 증상과 상황에 맞는
맞춤 치아 교정이 가능합니다.
부정교합으로 인한 불편감이 있으시다면
더 이상 망설이지 마시고
망원동치과 365바른약속에 내원하시어
다양한 장비를 활용하여
환자분의 전체적인 부정교합 상태를
정밀하게 진단하고 체크하여
적절한 교정 계획을 통해
부정교합을 개선해 드리겠습니다.
교정치료에 대해 궁금한 사항이 있으시다면
언제든 망원동치과 365바른약속치과에
문의해 주세요.
친절하게 답변해 드리겠습니다.
감사합니다.
*모든 증례 사진은 의료법 제23조,
제56조에 의거하여,
당사자의 동의하에 게시하였습니다.
*치료 사진은 모두 본원에서 치료한
환자분의 사진입니다.
*치료 사진은 모두 동일인의 사진이며,
동일 조건에서 촬영하였습니다.
*개인의 차이에 따라
시술 및 수술 후 부작용이 발생할 수 있으며,
의료진과 충분한 상담을 받으시기 바랍니다.