
매복 치아란
정상적으로 맹출 해야 할 치아가
나오지 못하고 잇몸이나 턱뼈 안에
묻혀있는 것으로
주로 사랑니에서 흔하게 나타나지만
송곳니(견치)도 그에 못지않게
자주 매복되어 있는 것을 볼 수 있는데요.
이를 매복 견치 라고 하며
윗니에 위치한 송곳니가
제대로 나오지 못하고
잇몸 안이나 뼈 안에 갇혀있는 상태를
상악 견치 매복이라고 하는데요.
오늘은 위턱 송곳니가 맹출 하지 않아
상담을 위해
성산동교정치과 365바른약속을 찾아주신
환자분의 사례를 소개해 드리겠습니다.
오늘 소개해 드릴
환자분께서는
20대 남성분으로
위턱 오른쪽에 유치가 남아 있어
영구치가 나오지 않는다며
말씀해 주셨는데요.

먼저 구강 내에서
확인해 보았더니
빨간색 화살표 표시의
위턱 오른쪽 유 견치(#43)가
남아 있는 것을 확인할 수 있었는데요.

정밀한 검사를 위해
파노라마 사진을 촬영해 보았더니
노란색 동그라미 표시의
위턱 오른쪽 송곳니(#13)가
잇몸뼈 속에 묻혀 매복되어
밖으로 맹출 하지 못하고 있는 상태였습니다.
견치(송곳니)는 우리 치열에서
매우 중요한 역할을 하는 치아로
앞니와 어금니 사이에서
치열을 지지해 주고
턱관절의 움직임에도 큰 영향을 주면서
우리 얼굴 모양을
만드는 중요한 치아인데요.
이런 견치가 매복 상태 일 때
방치하게 된다면
인접 치아 뿌리를 밀거나
심하면 낭종이 생길 수도 있기 때문에
반드시 치료가 필요합니다.
위 사례의 환자분의 경우
잔존 유치를 발치한 뒤
매복된 송곳니를 견인하여
밖으로 빼주는
교정치료가 필요한 상황이었는데요.
하지만 견치가 맹출 할 공간이
부족한 상태여서
위아래 양측 소구치를 하나씩 발치하여
공간을 만들어주는 것이 필요하였습니다.
환자분께 현재 상태에 대해
정밀하게 상담을 해 드린 뒤
소구치를 하나씩 발치하여
공간을 확보한 뒤
매복 된 견치를 견인하여
제 위치로 이동시키기로
치료 계획을 수립하였습니다.
성산동치과 365바른약속에서는
매복 견치의 교정치료에 앞서
현재 치아 상태를
정확하게 파악하고 진단하기 위해
파노라마 사진과 3D CT 촬영을 통해
견치의 위치를 파악하고
인접 치아에 영향을 주고 있지는 않은지 등을
정밀하게 검사하는 과정을 거쳤습니다.
간혹 매복 견치의 경우
낭종을 동반하기도 하는데
환자분의 경우
다행히 동반하고 있지 않았습니다.
먼저 불필요한 잔존 유 견치와
공간 확보를 위해
위아래 양측 소구치를
하나씩 발치하는 과정을 거쳤는데요.
환자분께서는 치과 공포증이 많으셔서
성산동치과 365바른약속에서 진행하는
수면치료를 통해 편안하고
안정적으로 발치를 도와드렸습니다.
발치 후 위턱 뼈에 매복되어 있는
견치를 입천장 수술을 통해
바깥으로 드러낸 뒤
제 위치로 견인하는 과정을 진행하였는데요.

발치 후 위턱 뼈에 매복되어 있는
견치를 입천장 수술을 통해
바깥으로 드러낸 뒤
제 위치로 견인하는 과정을 진행하였는데요.
매복되어 있었던 견치가
구강 내로 모습을 드러내고
치면에 브라켓이라는 장치를
부착할 수 있을 정도가 되었을 때
와이어를 연결하여
가지런한 배열을 위한
영구치 이동을 진행하였으며,
정기적인 검진을 통해
와이어를 교체해 가면서
힘을 유도하여 치열을 개선해 드렸습니다.

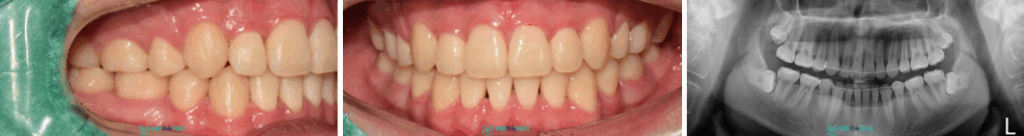
치료 마무리 후
위턱 오른쪽 견치가
제 위치에 바르게 자리 잡고
치열이 개선된 모습의
구강 내 모습과 파노라마 사진인데요.
환자분께서는
치과 공포증도 있으시다 보니
발치를 진행하는 과정과
매복 된 견치를 견인하는 과정에서
많이 힘든 부분도 있으셨지만
결과적으로 치료가 너무 잘 마무리되고,
웃는 모습이 자연스럽고 좋아지셔서
만족해하셨습니다.

교정치료가 마무리된 후에도
고르게 배열된 치열이 흐트러지지 않도록
치아의 뒷면에
얇은 철사를 붙여드렸으며
성산동치과 365바른약속치과의
지속적인 사후 관리를 통해
꾸준히 관리를 도와드리기로 했습니다.

이렇게 매복 견치를
제 위치로 이동하여
치아 교정을 도와드린 사레를
소개해 드렸는데요.
환자분의 경우 20대의 성인이 되어
잔존 유 견치를 발치하고
매복 된 견치를 견인하는
교정치료를 진행하였지만
가급적이면 혼합 치열기인
유치 – 영구치 교환 시기에
한쪽은 치아가 정상적으로 맹출 하였는데
다른 한쪽은 그렇지 않다면
치과에 내원하여
확인해 주는 것이 좋으며,
유치가 빠진 자리에
6개월 이상 영구치가 나오지 않고 있다면
반드시 치과에 내원하시어
사진을 찍어 확인하는 것이 좋습니다.

이렇게 치아교정은
단순히 치열만을
가지런하게 하는 것뿐만이 아니라
잇몸 안에 숨어있는 매복치를
정상적인 위치로 견인함으로써
환자분의 구강건강을 유지시켜주는 치료로
의료진의 교정 치료에 대한
다양한 경험과 노하우가 중요한데요.
성산동치과 365바른약속치과에서는
치아 교정 분야에 대해
풍부한 임상 경험을 가진 대표원장님께서
다양한 장비를 활용하여
환자분의 상태에 대해 정밀하게 파악한 뒤
치료의 처음 처음부터 끝까지
모두 도와드리고 있으며
치료 후에도 사후관리 프로그램을 통해
치열이 다시 흐트러지지 않도록
철저하게 관리해 드리고 있습니다.
구강 내에 잔존 유치가 남아있거나
매복 된 치아가 있다는 것을
검진을 통해 알고 계신다면
다른 문제가 생기기 전에
성산동치과 365바른약속치과에 내원하시어
전문의와 상담 후
적절한 치료를 받으시길 바랍니다.
감사합니다.
* 모든 증례 사진은 의료법 제23조,
제56조에 의거하여 당사자의 동의하에
게시하였습니다.
* 치료 사진은 모두 본원에서 치료한
환자분의 사진입니다.
* 치료 사진은 모두 동일인의 사진이며,
동일 조건에서 촬영하였습니다.
* 개인의 차이에 따라
시술 및 수술 후 부작용이 발생할 수 있으며,
의료진과 충분한 상담을 받으시길 바랍니다.